2023-11-18 08:48 编辑人:郑州市中心医院 阅读量:913
人到“中年”
不仅外貌有了变化
心态也有所改变
逐渐修身养性
比如
开始对鸟禽类滋生起莫名的情愫


而鹦鹉
凭借“好清纯好不做作”的气质
轻易奴役了人类的心
它们不甘困于笼中
理想是成为“沙漠之雕”
别人是“挥着翅膀的女孩儿”
它们是“挥着翅膀的二哈”
但最近
郑州有人因为
“鹦鹉热”饱受折磨
不仅上了呼吸机
甚至进了重症监护室——
郑州一大姐公园晕倒
多脏器功能衰竭
紧急送入
RICU
张阿姨高烧39.8℃
并且伴有头晕、乏力、
四肢肌肉酸痛等症状
准备去医院时
直接晕倒在了家门口

120把人送到
郑州大学附属郑州中心医院时
张阿姨的情况已经非常危急
意识障碍(嗜睡)
呼吸衰竭(指脉氧82%,正常值95-100%)
横纹肌溶解(肌酸激酶16414U/L,正常值40-200U/L)
休克(外周血压80/40mmHg)
重度低钾血症(钾2.12mmol/l,正常值3.5-5.5mmol/l)
多脏器功能受损(心、肝、肾)
紧急送入RICU(呼吸重症监护病房)
接诊的主治医师董睿
立即实施抢救工作
并第一时间请示科主任高延秋
接下来
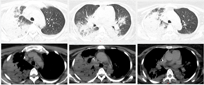
胸部CT显示
张阿姨肺上有大片严重的肺炎
接近一半都没有正常通气功能

上呼吸机!
病来如山倒
精准、快速且有效地抗感染至关重要!
各种检测结果还没出来
又不能延误治疗时机
考验的是医生的临床经验
是否能正确判断病症类型
如果不能对症下药
张阿姨还会继续发烧
可能肺炎会进一步加重
甚至引起全身多器官衰竭

根据经验性判断
高延秋主任认为张阿姨可能是
非典型病原体
莫西沙星进行快速抗感染治疗
气管镜提取样本进行肺泡灌洗液NGS检验
进行脏器支持治疗
(血液净化+吸附、无创呼吸机辅助通气、保肝、营养心肌)
很快
NGS结果出来了
鹦鹉热衣原体、金黄色葡萄球菌
——张阿姨得的是鹦鹉热肺炎!

是平时常常逛公园看鸟
才导致了这次危机

“鹦鹉热”容易被漏诊误诊
重症可能多器官衰竭!死亡率高!
“鹦鹉热”是一种接触性传染病。
主要在鹦鹉、鸽子、鸡、鸭这种禽类之间感染和互相传染,
感染后的鸟类的粪便、血或羽毛等都可能带有病原体。
最初这种病在鹦鹉爱好者中比较多见,所以叫“鹦鹉热”。

“鹦鹉热”能通过呼吸道感染,就算没有主动直接接触,也有可能“中招”!

这种病菌没有明显季节性,潜伏期一般1-2周,最长能有45天。
并且一般的常规检查很难检测出来。
患者常常会因为症状多变、不够独特,
医生没有怀疑患者的禽鸟接触史而被漏诊、误诊。
重症感染可能引起多器官衰竭,死亡率非常高。
治愈后有几率复发,要注意预防。

经过积极治疗
张阿姨的情况越来越好
半个月之后
康复出院
高延秋主任提醒:
出现这7种情况
要尽快检查自己有没有“中招”
高热、寒战,伴相对缓脉
全身疲惫无力,食欲不振
剧烈头痛和全身肌肉痛
部分病人有鼻出血或斑疹
一周左右出现咳嗽、咳痰,甚至痰中带血
病情严重会呼吸困难、发绀、烦躁、谵妄、木僵、昏迷等
少数病人有恶心、呕吐、腹泻,累及肝脏会出现黄疸
化验血常规正常,但拍胸片发现支气管炎样肺浸润
不想摊上“鹦鹉热”
这样做准没错
1. 铲屎官
买有健康证的宠物鸟
如果买鹦鹉,除了虎皮鹦鹉、牡丹鹦鹉、鸡尾鹦鹉,其他都是不合法的。
另外,新鸟要隔离观察2周。
鸟食混加四环素
鸟食中适当混加一些四环素等消炎药预防和控制鹦鹉热,
尤其是在家禽和鸟类运输前后。
经常消毒清理鸟笼
清洁过程中最好带上口罩和手套。
逗鸟别太久
鸟笼要悬挂于室外通风,每次逗鸟的15~30分钟就够了。
尽量别让家养鸟禽和野生鸟禽接触

鸟禽发病时
要及时与人隔离,避免传染。铲屎官和家人要服用四环素、红霉素预防。
铲屎官发热时
尽快去医院,和家人隔离,避免传染。
2. 其他人
买活禽的时候,要保持距离,吃的时候,要彻底煮熟。

TOP
微信扫码联系客服
预康通公众号
健康中原预约平台
微信小程序
支付宝小程序