2023-10-10 16:29 编辑人:郑州市中心医院 阅读量:1486
你知道高压锅的
工作原理吗?


那就麻烦大了
01
25岁,肺就“不行了”
阿珍和阿强
最近刚办完婚礼
25岁就找到了真爱
让身边人好好羡慕了一把

俩人是大学里认识并相恋的
相处了4年
阿强知道
阿珍的体育不太行
(简直是不忍直视)
还没跑两步就喘的不行
800米测试
还是老师看她跑得实在是困难
补考了两次才勉强给过的

但这次俩人结婚蜜月旅行
阿强发现
阿珍的运动能力更差了
还没走500米
就喘的不行
必须停下休息
还经常说自己胸口闷闷的
头晕、难受的不行

走楼梯的话
只能上到二楼
再往上走
就喘不上气
这哪是一个25岁的年轻人
该有的状态啊
阿强担心阿珍的身体情况
带她来到郑州大学附属郑州中心医院
好好检查检查

在心血管内科三病区主任
主任医师张琳的诊室里
阿珍还没说几句话
就需要深呼吸
这种状态
张琳严重怀疑阿珍的
心肺有问题
经过心脏彩超和肺动脉造影检查发现
阿珍竟然是
先天性心脏病——房间隔缺损
右心增大
肺动脉重度高压

一般来说,人体的血液体循环压力是肺循环压力的6倍,
这样才能使血液经过心脏流向肺部。

肺动脉高压是人体肺循环压力异常升高,
这样心脏为了把血液输送到全身就必须超负荷地收缩和舒张。

就像一个人长期做超负荷重体力劳动会影响身体健康一样,
肺动脉高压会促使心脏不眠不休地强力工作,
进而引发患者心衰,最终要走到心肺联合移植的一步。
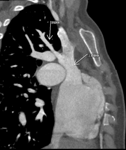
通过左房肺静脉CTA检查
张琳发现
阿珍的肺动脉高压
是先心病引起的

房间隔缺损导致
肺静脉异位引流
就是本该回到左心房的肺静脉血液
一部分汇入到了上腔静脉

先心病、肺静脉异位引流
和肺动脉高压
相互影响
又相互加重病情
进一步拖垮阿珍的身体
必须尽快手术治疗
经过心脏外科会诊手术

阿珍目前恢复的特别好
02
莫名其妙的患病
肺动脉高压这个病
虽然不是非常常见的病
却也有着1%的发病率
并且致残率和死亡率都很高

在65岁以上人群中
发病率高达10%
70岁的刘阿姨
最近一个月
也是因为胸闷、乏力、气促
走不了多远就大喘气
去了当地医院

一查
发现肺动脉重度高压
并且已经造成心衰
但药物治疗后
病情并没有好转

转诊至郑州大学附属郑州中心医院
各项检查下来
排除了肺动脉栓塞、心脏疾病等原因
请来呼吸与危重症医学科一病区
主任医师陈建丽会诊
也排除了肺部疾病的原因

没有解决不了的问题
心血管内科三病区
主任医师郭玉梅直接安排
北京阜外医院专家会诊
当专家知道了
刘阿姨养了30年的羊
终于破了案

可能是在长时间的饲养中
吸入了粉尘、有害气体
和多种病原微生物
多种因素导致了肺动脉高压
找到病因
就能解决问题
通过避开致病环境+
吸氧+合理的药物治疗
刘阿姨症状很快好转
出院前她女儿还专门给
郭玉梅发了信息
再次表达感谢之情

张琳提醒
一般,轻度的肺动脉高压
没有什么症状
并且很难被发现
很多患者发现并就医时
病情已经非常严重
所以,早发现、早治疗
以及规范的随访管理
是治疗的关键

这些人
是高危人群
♦ 有先天性心脏病患者
♦ 门脉高压、肺部疾病、慢性肺栓塞患者
♦ 结缔组织病患者
♦ HIV感染者
♦ 家族中曾有特发性肺动脉高压者
♦ 服用减肥药、中枢性食欲抑制剂者
特别提醒
爱美的想要减肥的小伙伴,
最好不要服用抑制食欲的减肥药,当心减肥不成,
患上肺动脉高压的可能性会比普通人群高出25-50倍!
肺动脉高压患者日常应注意↓
要注意保暖,谨防感冒
若呼吸道感染,对患者来说是致命的;
避免到海拔较高的地区
海拔高度不要超过2000公尺,如果需要坐飞机出行,
最好能够在乘坐时吸氧;
不做剧烈运动
也不可做重体力劳动,平时运动应选择平缓轻松的如慢走;
女性患者要注意避孕
怀孕会使患者病情恶化,请不要冒险;
不能擅自停药、减药
如果日常出现胸闷、气急、呼吸困难等症状,应立即就医。

TOP
微信扫码联系客服
预康通公众号
健康中原预约平台
微信小程序
支付宝小程序